You are at: Our First Kids > Korie > Korie's Gold Bead Implants
Korie's Gold Bead Implants

In August 1998, Korie traveled to Marion, Indiana to have 'some' gold beads implanted in her to help with her epilepsy. The article Gold Beads explains the "why" of gold bead implants and acupuncture. Her appointment was at 9 AM and we were on the road 3 hours later to Cleveland, Ohio to visit family.

Korie relaxes in the Weizer Wagon prior to the gold bead 'operation'.

Korie would not pose at the Marion sign so Roy holds here for the scrap book.

The 'happen' place in Marion- Dr. Durkes Office.

Preparation

We were allowed to watch the complete procedure from the time she was given the anesthetic to the time of the injection of the last set of gold beads.

The procedure of implanting gold beads was perfected by Dr. Terry Durkes of the Western Avenue Animal Hospital in Marion, Indiana. Dr. Durkes first performed an overall examine to determine her physical condition. She was taken to the operating room and given the anesthetic for the operation which lasted about an hour. She was then shaved down to the skin from her tail to the base of her neck and on her head. Next the shaved areas were washed and cleansed. Her neck was not shaved since the gold beads are not implanted there.

Procedure

Dr. Durkes's assistant would first put an antibiotic ointment or lubricant on the needle and then insert 2 or 3, usually 3, gold beads into the needle. He would feel his pulse at this temple with his left hand and move the needle in his right hand over her head by the acupuncture points. When the point was established, he would inject the beads into Korie. He did this for the points on her head and on her back on each side of her spinal cord. Near the end of the procedure, he went back over her head and back and implanted more gold beads. The procedure lasted about 1 hour.

The first picture below shows a strip which contained the gold beads. We have added a ruler to give you an idea of the size of the beads. The second picture is from and article titled Animal ER by Brenda Peterson which appeared in the March/April 1999 issue of New Age Magazine. It gives the reader another prospective of the size of the gold beads.

This is an empty packet of gold beads.

A magazine illustration of how the gold beads are 'implanted' - injected under the skin.

These 2 photos show the extent of the injections that Korie received. Note that some points are not bleeding, just red spots and others bled and discolored her hair.

Implant points in Korie's back.

X-ray of Korie's Beads

This picture is an x-ray of Korie taken several months after the gold bead implants. She is laying on her back and you can see her tail at the bottom of the x-ray. The small dots along the spine area are the gold beads.

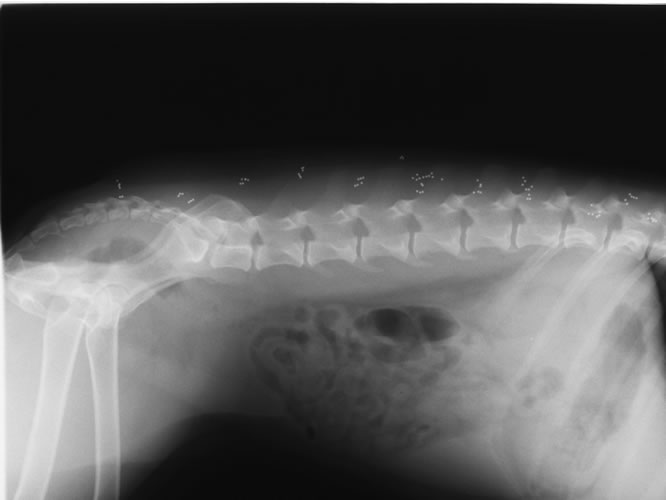
Dec 2000 X-ray of Korie's Beads

In December 2000, while visiting relatives in California, Korie developed a urinary tract infection. To verify that she did not have bladder stones, the veterinarian in San Jose took an X-ray to confirm or refute the bladder stone theory. Shown here is that X-ray and it very clearly shows her gold beads.

Korie's Drugs

Korie is still on her full dose of Phenobarbital - 60 mg. 7 A.M. 3 P.M. and 11 P.M. - and Potassium Bromide - 3.5 cc with her evening meal. In the late fall of 1998, we eliminated the Clorazepate - 15 mg. A.M. and P.M. - which is a type of valium, about two weeks after the gold beads. We somewhat weaned her off of the drug by only giving her 15 mg. once a day at night. The main reason for eliminating the Clorazepate was the cost. The company, Mylan, has a monopoly, literally a monopoly, on the drug and has increased its cost by over 400% percent. Mylan bought out all distributors of the drug and now is the sole distributor. A bottle of 60 that once cost about $15 was increased to $65 a bottle, even more depending on what drug store we priced the drug at. Her other vitamins and mineral supplements have not changed.

We have also changed her diet. In October 1998 we changed her food from Purnia Lite (16% protein) to Flint River Ranch at 16% protein. Purina came out with a new "lite" dog food with a 25% protein. We have found that the low protein diet seems to help reduce seizures.

Change in Korie

Within days after her gold beads, we noticed a change in Korie. Her eyes are brighter, she does not seem to be so drugged, she gets into the play position more often, and she plays more with the other dogs. The biggest difference is her boisterousness when she is hungry. At these times she lets us know, and sometimes the state of Colorado, that she is hungry and "yodles" at us.

Korie does continue to seizure. However, her seizures are shorter in duration, less severe, and she recovers faster than before the gold beads.

If you have further questions you can contact Dr. Terry Durkes

Western Avenue Animal Hospital
909 N. Western Avenue
Marion, Indiana 46952
Telephone: (765) 664-0734

or visit Western Avenue Animal Hospital website.

If you are interested in gold bead implants you can read the article that Dr. Terry Durkes authored at http://lochvale.freeservers.com/Durkes.html

Home Page | Picture Page | Korie Page | Korie Background Page